Tested Applications
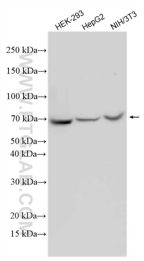
| Positive WB detected in | HEK-293 cells, BxPC-3 cells, HeLa cells, HepG2 cells, mouse brain tissue, mouse placenta tissue, NIH/3T3 cells |
| Positive IP detected in | HEK-293 cells |
| Positive IHC detected in | human pancreas tissue Note: suggested antigen retrieval with TE buffer pH 9.0; (*) Alternatively, antigen retrieval may be performed with citrate buffer pH 6.0 |
| Positive IF/ICC detected in | MCF-7 cells |
Recommended dilution
| Application | Dilution |
|---|---|
| Western Blot (WB) | WB : 1:20000-1:100000 |
| Immunoprecipitation (IP) | IP : 0.5-4.0 ug for 1.0-3.0 mg of total protein lysate |
| Immunohistochemistry (IHC) | IHC : 1:50-1:500 |
| Immunofluorescence (IF)/ICC | IF/ICC : 1:10-1:100 |
| It is recommended that this reagent should be titrated in each testing system to obtain optimal results. | |
| Sample-dependent, Check data in validation data gallery. | |
Product Information
14642-1-AP targets IGF2BP3 in WB, IHC, IF/ICC, IP, CoIP, RIP, ELISA applications and shows reactivity with human, mouse samples.
| Tested Reactivity | human, mouse |
| Cited Reactivity | human, mouse, rat, pig |
| Host / Isotype | Rabbit / IgG |
| Class | Polyclonal |
| Type | Antibody |
| Immunogen |
CatNo: Ag6226 Product name: Recombinant human IGF2BP3 protein Source: e coli.-derived, PGEX-4T Tag: GST Domain: 240-579 aa of BC065269 Sequence: AEKSITILSTPEGTSAACKSILEIMHKEAQDIKFTEEIPLKILAHNNFVGRLIGKEGRNLKKIEQDTDTKITISPLQELTLYNPERTITVKGNVETCAKAEEEIMKKIRESYENDIASMNLQAHLIPGLNLNALGLFPPTSGMPPPTSGPPSAMTPPYPQFEQSETETVHLFIPALSVGAIIGKQGQHIKQLSRFAGASIKIAPAEAPDAKVRMVIITGPPEAQFKAQGRIYGKIKEENFVSPKEEVKLEAHIRVPSFAAGRVIGKGGKTVNELQNLSSAEVVVPRDQTPDENDQVVVKITGHFYACQVAQRKIQEILTQVKQHQQQKALQSGPPQSRRK Predict reactive species |
| Full Name | insulin-like growth factor 2 mRNA binding protein 3 |
| Calculated Molecular Weight | 64 kDa |
| Observed Molecular Weight | 64 kDa |
| GenBank Accession Number | BC065269 |
| Gene Symbol | IGF2BP3 |
| Gene ID (NCBI) | 10643 |
| RRID | AB_2122782 |
| Conjugate | Unconjugated |
| Form | Liquid |
| Purification Method | Antigen affinity purification |
| UNIPROT ID | O00425 |
| Storage Buffer | PBS with 0.02% sodium azide and 50% glycerol, pH 7.3. |
| Storage Conditions | Store at -20°C. Stable for one year after shipment. Aliquoting is unnecessary for -20oC storage. 20ul sizes contain 0.1% BSA. |
Background Information
IGF2BP3, also named IMP3, KOC1, and VICKZ3, belongs to the RRM IMP/VICKZ family. It is one of the RNA binding proteins involved in mRNA localization and translational control. IGF2BP3 is expressed during embryogenesis, as well as in some malignant tumors. It can be used as an independent prognostic factor for osteosarcoma. Both isoforms (64kd and 22kd) of IGFBP3 can be recognized by this antibody. And IGFBP3 is nuclear and cytoplasm stains.
Protocols
| Product Specific Protocols | |
|---|---|
| IF protocol for IGF2BP3 antibody 14642-1-AP | Download protocol |
| IHC protocol for IGF2BP3 antibody 14642-1-AP | Download protocol |
| IP protocol for IGF2BP3 antibody 14642-1-AP | Download protocol |
| WB protocol for IGF2BP3 antibody 14642-1-AP | Download protocol |
| Standard Protocols | |
|---|---|
| Click here to view our Standard Protocols |
Publications
| Species | Application | Title |
|---|---|---|
Cancer Cell Lin28b is sufficient to drive liver cancer and necessary for its maintenance in murine models.
| ||
Cell Mol Immunol Inhibition of METTL3 in macrophages provides protection against intestinal inflammation | ||
Cell Res Oncogenic AURKA-enhanced N6-methyladenosine modification increases DROSHA mRNA stability to transactivate STC1 in breast cancer stem-like cells. | ||
Nat Cell Biol N6-methyladenosine regulates maternal RNA maintenance in oocytes and timely RNA decay during mouse maternal-to-zygotic transition. | ||
Mol Cell m6A modification negatively regulates translation by switching mRNA from polysome to P-body via IGF2BP3
|
Reviews
The reviews below have been submitted by verified Proteintech customers who received an incentive for providing their feedback.
FH Yevheniia (Verified Customer) (01-31-2025) | worked well
|
FH honglei (Verified Customer) (01-17-2023) | This antibody can be used for immunofluorescence and mainly localizes in the nucleus
|
FH Jessica (Verified Customer) (10-29-2018) | Also binds exogenous expressed IGF2BP1-GFP protein. I also get a double band around 70 kDa that is likely IGF2BP1 and IGF2BP3. This antibody is not specific.
|



























