Tested Applications
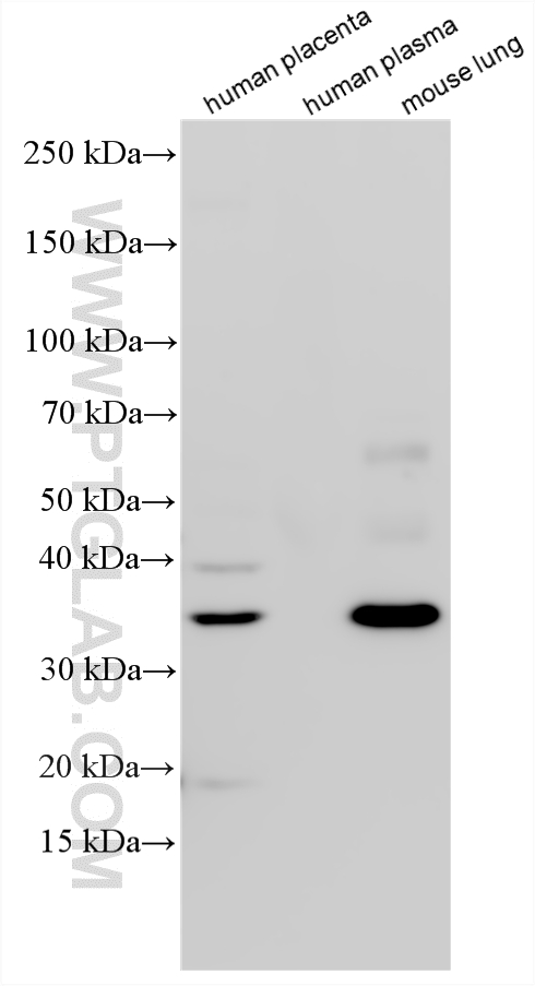
| Positive WB detected in | human placenta tissue, human brain tissue, mouse skin tissue, mouse lung tissue |
| Positive IHC detected in | human prostate cancer tissue, human colon cancer tissue, human placenta tissue Note: suggested antigen retrieval with TE buffer pH 9.0; (*) Alternatively, antigen retrieval may be performed with citrate buffer pH 6.0 |
Recommended dilution
| Application | Dilution |
|---|---|
| Western Blot (WB) | WB : 1:500-1:2000 |
| Immunohistochemistry (IHC) | IHC : 1:50-1:500 |
| It is recommended that this reagent should be titrated in each testing system to obtain optimal results. | |
| Sample-dependent, Check data in validation data gallery. | |
Published Applications
| WB | See 2 publications below |
| IF | See 2 publications below |
Product Information
20104-1-AP targets HAUS4 in WB, IHC, IF, ELISA applications and shows reactivity with human, mouse samples.
| Tested Reactivity | human, mouse |
| Cited Reactivity | human |
| Host / Isotype | Rabbit / IgG |
| Class | Polyclonal |
| Type | Antibody |
| Immunogen |
CatNo: Ag13717 Product name: Recombinant human HAUS4 protein Source: e coli.-derived, PGEX-4T Tag: GST Domain: 1-363 aa of BC002554 Sequence: MASGDFCSPGEGMEILQQVCSKQLPPCNLSKEDLLQNPYFSKLLLNLSQHVDESGLSLTLAKEQAQAWKEVRLHKTTWLRSEILHRVIQELLVDYYVKIQDTNVTSEDKKFHETLEQRLLVTELMRLLGPSQEREIPPLLGLEKADLLELMPLSEDFVWMRARLQQEVEEQLKKKCFTLLCYYDPNSDADSETVKAAKVWKLAEVLVGEQQQCQDAKSQQKEQMLLLEKKSAAYSQVLLRCLTLLQRLLQEHRLKTQSELDRINAQYLEVKCGAMILKLRMEELKILSDTYTVEKVEVHRLIRDRLEGAIHLQEQDMENSRQVLNSYEVLGEEFDRLVKEYTVLKQATENKRWALQEFSKVYR Predict reactive species |
| Full Name | chromosome 14 open reading frame 94 |
| Calculated Molecular Weight | 363 aa, 42 kDa |
| Observed Molecular Weight | 28 kDa, 37 kDa, 42 kDa |
| GenBank Accession Number | BC002554 |
| Gene Symbol | C14orf94 |
| Gene ID (NCBI) | 54930 |
| RRID | AB_10639366 |
| Conjugate | Unconjugated |
| Form | Liquid |
| Purification Method | Antigen affinity purification |
| UNIPROT ID | Q9H6D7 |
| Storage Buffer | PBS with 0.02% sodium azide and 50% glycerol, pH 7.3. |
| Storage Conditions | Store at -20°C. Stable for one year after shipment. Aliquoting is unnecessary for -20oC storage. 20ul sizes contain 0.1% BSA. |
Background Information
HAUS4, also named as C14orf94, has four isoforms with MW 27-29 kDa, 37 kDa and 42 kDa.
Protocols
| Product Specific Protocols | |
|---|---|
| WB protocol for HAUS4 antibody 20104-1-AP | Download protocol |
| IHC protocol for HAUS4 antibody 20104-1-AP | Download protocol |
| Standard Protocols | |
|---|---|
| Click here to view our Standard Protocols |
Publications
| Species | Application | Title |
|---|---|---|
Nat Commun Structural mechanisms for centrosomal recruitment and organization of the microtubule nucleator γ-TuRC | ||
J Cell Biol Reconstitution and mechanistic dissection of the human microtubule branching machinery. | ||
Nat Commun An interaction network of inner centriole proteins organised by POC1A-POC1B heterodimer crosslinks ensures centriolar integrity |



















