Tested Applications
| Positive WB detected in | A375 cells, HepG2 cells, RAW 264.7 cells |
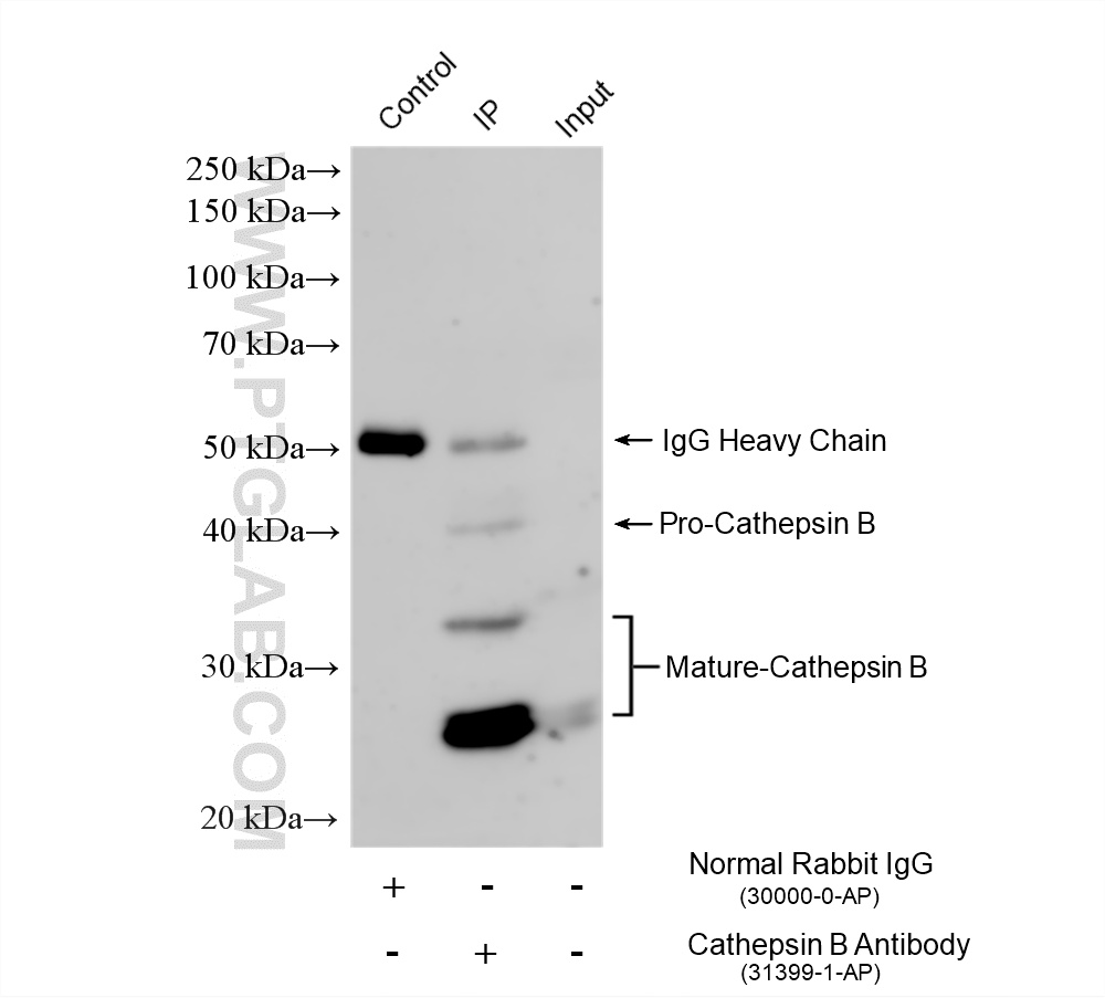
| Positive IP detected in | HepG2 cells |
| Positive IHC detected in | human lung cancer tissue Note: suggested antigen retrieval with TE buffer pH 9.0; (*) Alternatively, antigen retrieval may be performed with citrate buffer pH 6.0 |
Recommended dilution
| Application | Dilution |
|---|---|
| Western Blot (WB) | WB : 1:500-1:2000 |
| Immunoprecipitation (IP) | IP : 0.5-4.0 ug for 1.0-3.0 mg of total protein lysate |
| Immunohistochemistry (IHC) | IHC : 1:50-1:500 |
| It is recommended that this reagent should be titrated in each testing system to obtain optimal results. | |
| Sample-dependent, Check data in validation data gallery. | |
Product Information
31399-1-AP targets Cathepsin B in WB, IHC, IP, ELISA applications and shows reactivity with human, mouse samples.
| Tested Reactivity | human, mouse |
| Host / Isotype | Rabbit / IgG |
| Class | Polyclonal |
| Type | Antibody |
| Immunogen |
CatNo: Eg1020 Product name: Recombinant Human Cathepsin B protein (His Tag) Source: mammalian cells-derived, pHZ-KIsec-C-6*HIS Tag: C-10*His Domain: 18-339 aa of NM_001908.5 Sequence: RSRPSFHPLSDELVNYVNKRNTTWQAGHNFYNVDMSYLKRLCGTFLGGPKPPQRVMFTEDLKLPASFDAREQWPQCPTIKEIRDQGSCGSCWAFGAVEAISDRICIHTNAHVSVEVSAEDLLTCCGSMCGDGCNGGYPAEAWNFWTRKGLVSGGLYESHVGCRPYSIPPCEHHVNGSRPPCTGEGDTPKCSKICEPGYSPTYKQDKHYGYNSYSVSNSEKDIMAEIYKNGPVEGAFSVYSDFLLYKSGVYQHVTGEMMGGHAIRILGWGVENGTPYWLVANSWNTDWGDNGFFKILRGQDHCGIESEVVAGIPRTDQYWEKI Predict reactive species |
| Full Name | cathepsin B |
| Calculated Molecular Weight | 38kDa |
| Observed Molecular Weight | 25 kDa and 31 kDa |
| GenBank Accession Number | NM_001908.5 |
| Gene Symbol | Cathepsin B |
| Gene ID (NCBI) | 1508 |
| RRID | AB_3669964 |
| Conjugate | Unconjugated |
| Form | Liquid |
| Purification Method | Antigen affinity Purification |
| UNIPROT ID | P07858 |
| Storage Buffer | PBS with 0.02% sodium azide and 50% glycerol, pH 7.3. |
| Storage Conditions | Store at -20°C. Stable for one year after shipment. Aliquoting is unnecessary for -20oC storage. 20ul sizes contain 0.1% BSA. |
Background Information
CTSB(Cathepsin B) is also named as CPSB and belongs to the peptidase C1 family. It participates in intracellular degradation and turnover of proteins. Cathepsin B precursors found in human malignant ascites fluid do not possess mannose-rich carbohydrates suggesting that a defect in the post translational processing of carbohydrate moieties on tumor. Cathepsin B exists as both glycosylated and unglycosylated forms(PMID:1637335). In rat macrophages and hepatocytes pro- cathepsin B is 39 kDa (unglycosylated =35 kDa), whereas in human fibroblasts procathepsin B is 44.5-46kDa (unglycosylated=39kDa)(PMID:2097084). It can be detected the 43 kDa form of pro-CTSB, 31 kDa and 25 kDa mature forms in mouse brain by western blot(PMID:20616152).
Protocols
| Product Specific Protocols | |
|---|---|
| IHC protocol for Cathepsin B antibody 31399-1-AP | Download protocol |
| IP protocol for Cathepsin B antibody 31399-1-AP | Download protocol |
| WB protocol for Cathepsin B antibody 31399-1-AP | Download protocol |
| Standard Protocols | |
|---|---|
| Click here to view our Standard Protocols |





