Tested Applications
| Positive WB detected in | A431 cells, rat kidney tissue, HeLa cells, HepG2 cells, NIH/3T3 cells |
| Positive IP detected in | HeLa cells |
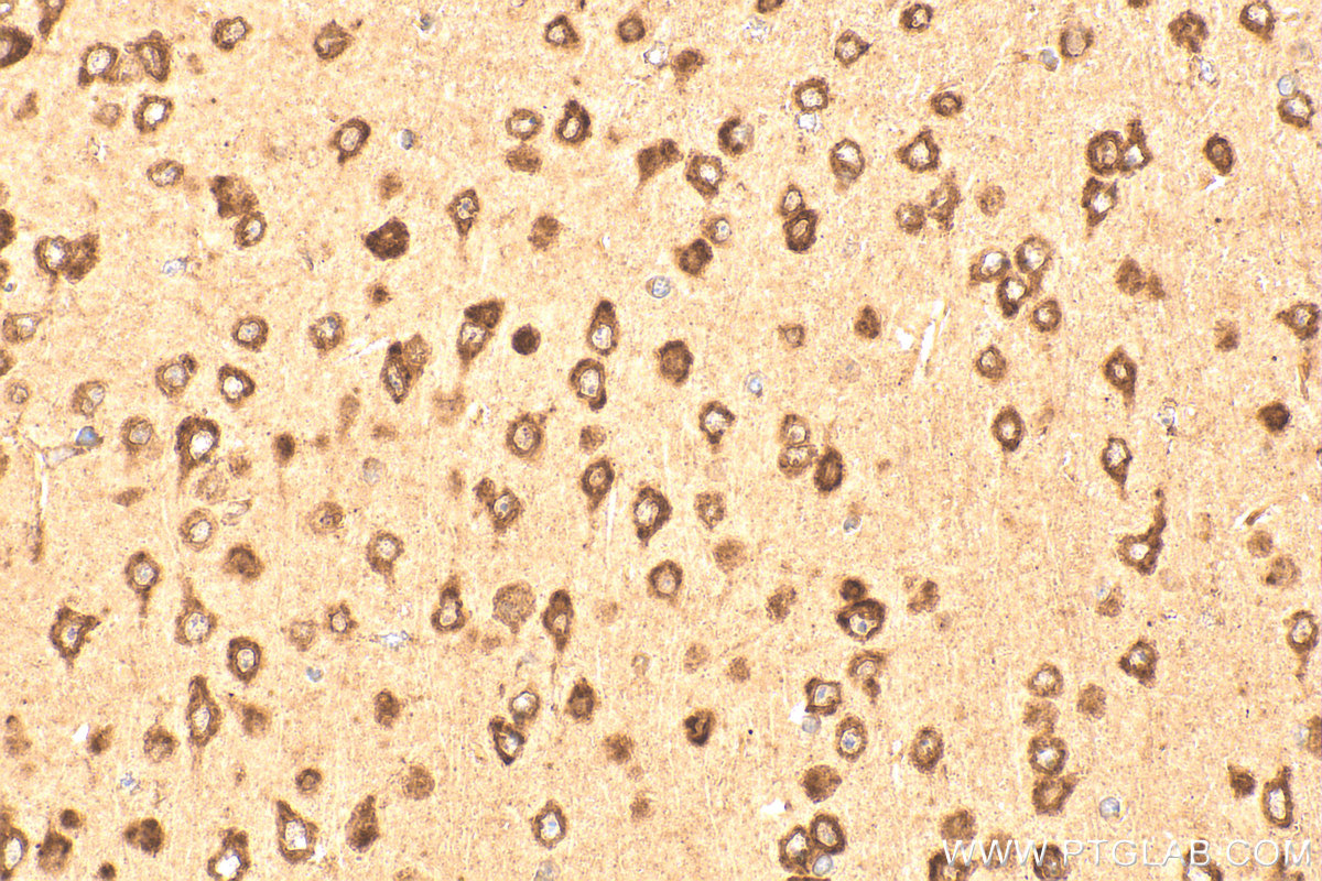
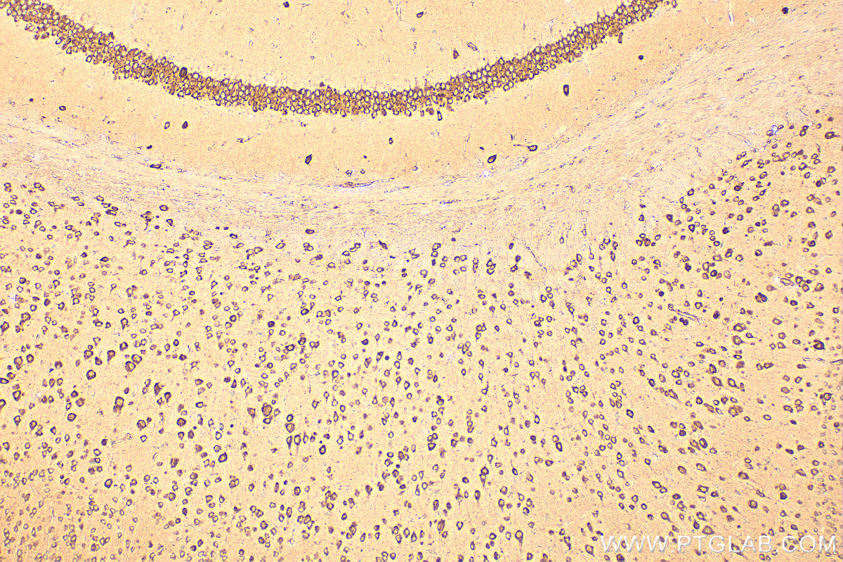
| Positive IHC detected in | human kidney tissue, human liver tissue, mouse brain tissue Note: suggested antigen retrieval with TE buffer pH 9.0; (*) Alternatively, antigen retrieval may be performed with citrate buffer pH 6.0 |
| Positive IF/ICC detected in | U2OS cells, HepG2 cells |
Recommended dilution
| Application | Dilution |
|---|---|
| Western Blot (WB) | WB : 1:5000-1:50000 |
| Immunoprecipitation (IP) | IP : 0.5-4.0 ug for 1.0-3.0 mg of total protein lysate |
| Immunohistochemistry (IHC) | IHC : 1:50-1:500 |
| Immunofluorescence (IF)/ICC | IF/ICC : 1:50-1:500 |
| It is recommended that this reagent should be titrated in each testing system to obtain optimal results. | |
| Sample-dependent, Check data in validation data gallery. | |
Published Applications
| KD/KO | See 1 publications below |
| WB | See 32 publications below |
| IHC | See 4 publications below |
| IF | See 21 publications below |
| IP | See 4 publications below |
| CoIP | See 3 publications below |
Product Information
16686-1-AP targets CKAP4 in WB, IHC, IF/ICC, IP, CoIP, ELISA applications and shows reactivity with human, mouse, rat samples.
| Tested Reactivity | human, mouse, rat |
| Cited Reactivity | human, mouse, rat |
| Host / Isotype | Rabbit / IgG |
| Class | Polyclonal |
| Type | Antibody |
| Immunogen |
CatNo: Ag10019 Product name: Recombinant human CKAP4 protein Source: e coli.-derived, PGEX-4T Tag: GST Domain: 254-602 aa of BC082972 Sequence: IFTEVQKRSQKEINDMKAKVASLEESEGNKQDLKALKEAVKEIQTSAKSREWDMEALRSTLQTMESDIYTEVRELVSLKQEQQAFKEAADTERLALQALTEKLLRSEESVSRLPEEIRRLEEELRQLKSDSHGPKEDGGFRHSEAFEALQQKSQGLDSRLQHVEDGVLSMQVASARQTESLESLLSKSQEHEQRLAALQGRLEGLGSSEADQDGLASTVRSLGETQLVLYGDVEELKRSVGELPSTVESLQKVQEQVHTLLSQDQAQAARLPPQDFLDRLSSLDNLKASVSQVEADLKMLRTAVDSLVAYSVKIETNENNLESAKGLLDDLRNDLDRLFVKVEKIHEKV Predict reactive species |
| Full Name | cytoskeleton-associated protein 4 |
| Calculated Molecular Weight | 602 aa, 66 kDa |
| Observed Molecular Weight | 63 kDa |
| GenBank Accession Number | BC082972 |
| Gene Symbol | CKAP4 |
| Gene ID (NCBI) | 10970 |
| RRID | AB_2276275 |
| Conjugate | Unconjugated |
| Form | Liquid |
| Purification Method | Antigen affinity purification |
| UNIPROT ID | Q07065 |
| Storage Buffer | PBS with 0.02% sodium azide and 50% glycerol, pH 7.3. |
| Storage Conditions | Store at -20°C. Stable for one year after shipment. Aliquoting is unnecessary for -20oC storage. 20ul sizes contain 0.1% BSA. |
Background Information
CKAP4, also named as Climp-63, is a 63 kDa cytoskeleton-linking membrane protein. It is the partner of triadin. CKAP4 is responsible for this association of triads and microtubules. It functions as a key structural component, tethering the ER to the microtubule cytoskeleton and thereby regulating ER network morphology and dynamics. Beyond its structural role, CKAP4 has been identified as a multifunctional signaling receptor present on the plasma membrane for various ligands, including tissue plasminogen activator, anti-proliferative factor, and DICKKOPF1 (DKK1). This dual localization enables CKAP4 to participate in diverse cellular processes such as cell proliferation, migration, and immune modulation. Its dysregulation is implicated in several pathological conditions, including cancers, fibrosis, and inflammatory diseases, highlighting its significance as a potential therapeutic target and biomarker.
Protocols
| Product Specific Protocols | |
|---|---|
| IF protocol for CKAP4 antibody 16686-1-AP | Download protocol |
| IHC protocol for CKAP4 antibody 16686-1-AP | Download protocol |
| IP protocol for CKAP4 antibody 16686-1-AP | Download protocol |
| WB protocol for CKAP4 antibody 16686-1-AP | Download protocol |
| Standard Protocols | |
|---|---|
| Click here to view our Standard Protocols |
Publications
| Species | Application | Title |
|---|---|---|
Nat Commun AMFR-mediated Flavivirus NS2A ubiquitination subverts ER-phagy to augment viral pathogenicity | ||
Nat Commun Parvimonas micra promotes oral squamous cell carcinoma metastasis through TmpC-CKAP4 axis | ||
Mol Cell Quality Control of ER Membrane Proteins by the RNF185/Membralin Ubiquitin Ligase Complex |
Reviews
The reviews below have been submitted by verified Proteintech customers who received an incentive for providing their feedback.
FH Audrey (Verified Customer) (11-12-2025) | Antibody gave good signal with low backgound in brain sections fixed with 4% PFA.
|
FH udesh (Verified Customer) (06-25-2025) | worked well at 1:2000 for MSCs
|
FH WEI (Verified Customer) (06-28-2020) | Single strong band at correct size.
|

























