Tested Applications
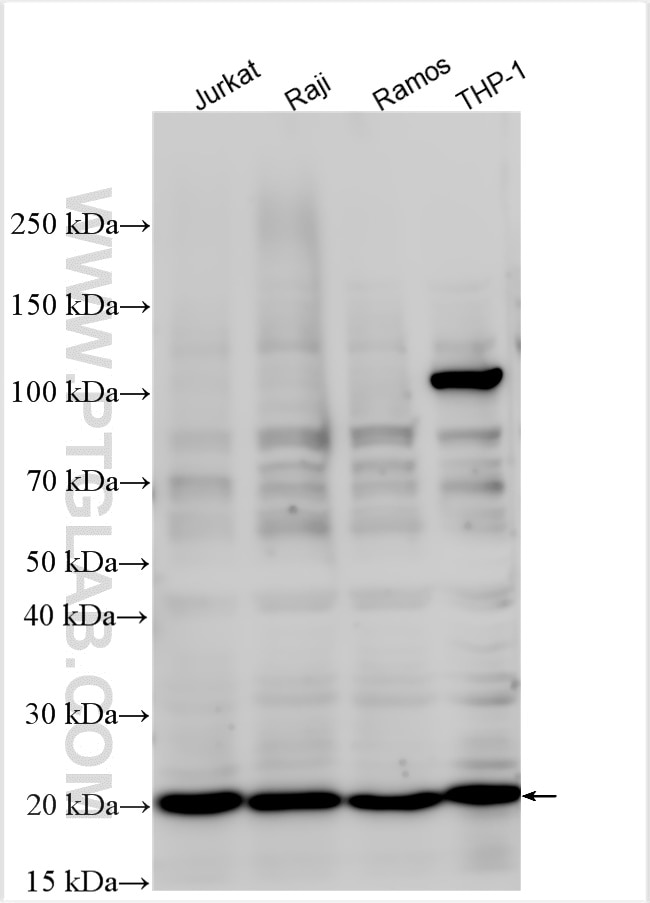
| Positive WB detected in | Raji cells, HCT 116 cells, mouse brain tissue, THP-1 cells, rat brain tissue, Jurkat cells, Ramos cells |
| Positive IHC detected in | human tonsillitis tissue Note: suggested antigen retrieval with TE buffer pH 9.0; (*) Alternatively, antigen retrieval may be performed with citrate buffer pH 6.0 |
Recommended dilution
| Application | Dilution |
|---|---|
| Western Blot (WB) | WB : 1:1000-1:4000 |
| Immunohistochemistry (IHC) | IHC : 1:1000-1:4000 |
| It is recommended that this reagent should be titrated in each testing system to obtain optimal results. | |
| Sample-dependent, Check data in validation data gallery. | |
Published Applications
| KD/KO | See 1 publications below |
| WB | See 107 publications below |
| IHC | See 2 publications below |
| IF | See 2 publications below |
Product Information
27855-1-AP targets CD81 in WB, IHC, IF, ELISA applications and shows reactivity with human, mouse, rat samples.
| Tested Reactivity | human, mouse, rat |
| Cited Reactivity | human, mouse, rat, canine, zebrafish |
| Host / Isotype | Rabbit / IgG |
| Class | Polyclonal |
| Type | Antibody |
| Immunogen |
CatNo: Ag27298 Product name: Recombinant human CD81 protein Source: e coli.-derived, PET28a Tag: 6*His Domain: 114-199 aa of BC002978 Sequence: VNKDQIAKDVKQFYDQALQQAVVDDDANNAKAVVKTFHETLDCCGSSTLTALTTSVLKNNLCPSGSNIISNLFKEDCHQKIDDLFS Predict reactive species |
| Full Name | CD81 molecule |
| Calculated Molecular Weight | 26 kDa |
| Observed Molecular Weight | 23 kDa |
| GenBank Accession Number | BC002978 |
| Gene Symbol | CD81 |
| Gene ID (NCBI) | 975 |
| ENSEMBL Gene ID | ENSG00000110651 |
| RRID | AB_2880995 |
| Conjugate | Unconjugated |
| Form | Liquid |
| Purification Method | Antigen affinity purification |
| UNIPROT ID | P60033 |
| Storage Buffer | PBS with 0.02% sodium azide and 50% glycerol, pH 7.3. |
| Storage Conditions | Store at -20°C. Stable for one year after shipment. Aliquoting is unnecessary for -20oC storage. 20ul sizes contain 0.1% BSA. |
Background Information
CD81 (also known as TAPA1or TSPAN28) is a membrane protein of the tetraspanin superfamily, which are characterized by the presence of four conserved transmembrane regions. Many of these members are expressed on leukocytes and have been implicated in signal transduction, cell-cell interactions, and cellular activation and development. CD81 is involved in signal transduction and cell adhesion in the immune system (PMID: 9597125). CD81 has also been identified as an essential receptor for HCV (hepatitis C virus) (PMID: 21428934).
Protocols
| Product Specific Protocols | |
|---|---|
| IHC protocol for CD81 antibody 27855-1-AP | Download protocol |
| WB protocol for CD81 antibody 27855-1-AP | Download protocol |
| Standard Protocols | |
|---|---|
| Click here to view our Standard Protocols |
Publications
| Species | Application | Title |
|---|---|---|
Adv Sci (Weinh) Astrocyte-Derived Extracellular Vesicular miR-143-3p Dampens Autophagic Degradation of Endothelial Adhesion Molecules and Promotes Neutrophil Transendothelial Migration after Acute Brain Injury | ||
Adv Sci (Weinh) POSTN-Mediated Interplay of M1 Polarized Macrophage with Tendon-Derived Stem Cells to Drive Traumatic Heterotopic Ossification Formation through PTK7/ATK Signaling | ||
EMBO J Extracellular vesicles from Zika virus-infected cells display viral E protein that binds ZIKV-neutralizing antibodies to prevent infection enhancement | ||
J Control Release 3D mesenchymal stem cell exosome-functionalized hydrogels for corneal wound healing | ||
J Nanobiotechnology Injectable photocrosslinking spherical hydrogel-encapsulated targeting peptide-modified engineered exosomes for osteoarthritis therapy | ||
Adv Healthc Mater Dual-Barb Microneedle with JAK/STAT Inhibitor-Loaded Nanovesicles Encapsulation for Tendinopathy |











