Tested Applications
| Positive WB detected in | mouse brain tissue, rat brain tissue |
| Positive IP detected in | SH-SY5Y cells |
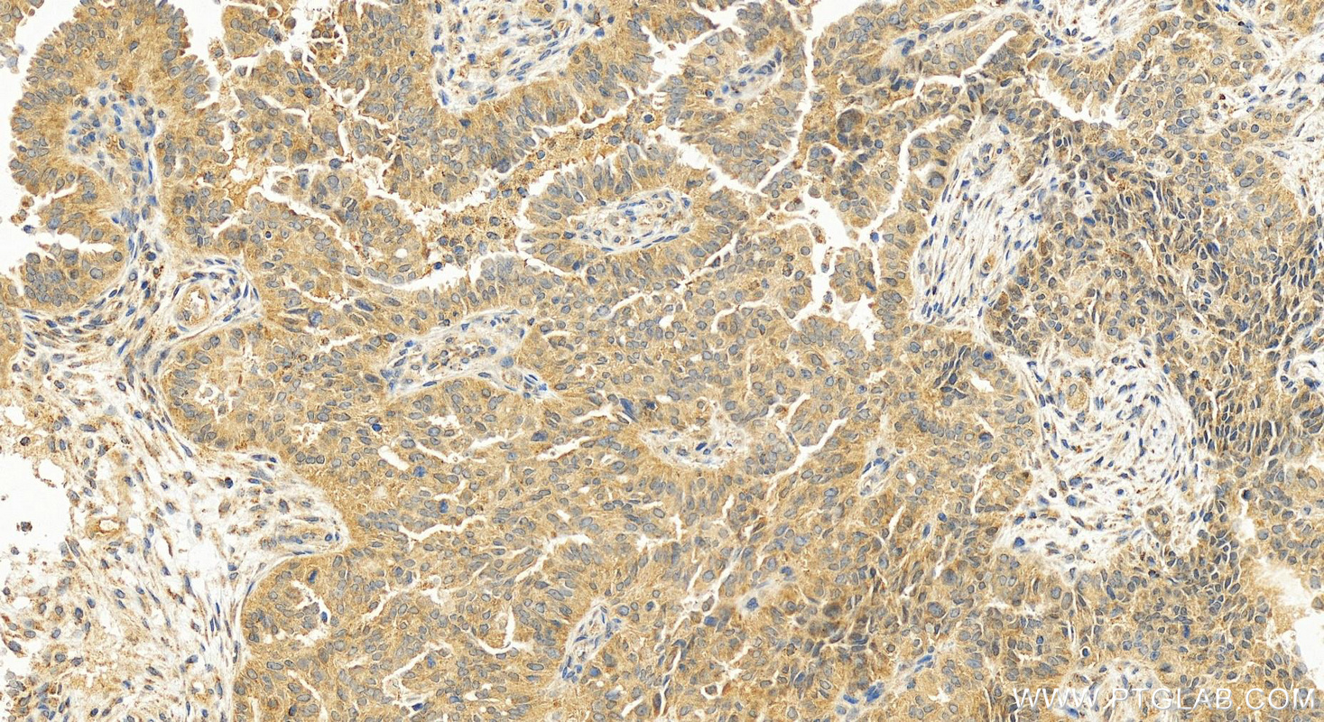
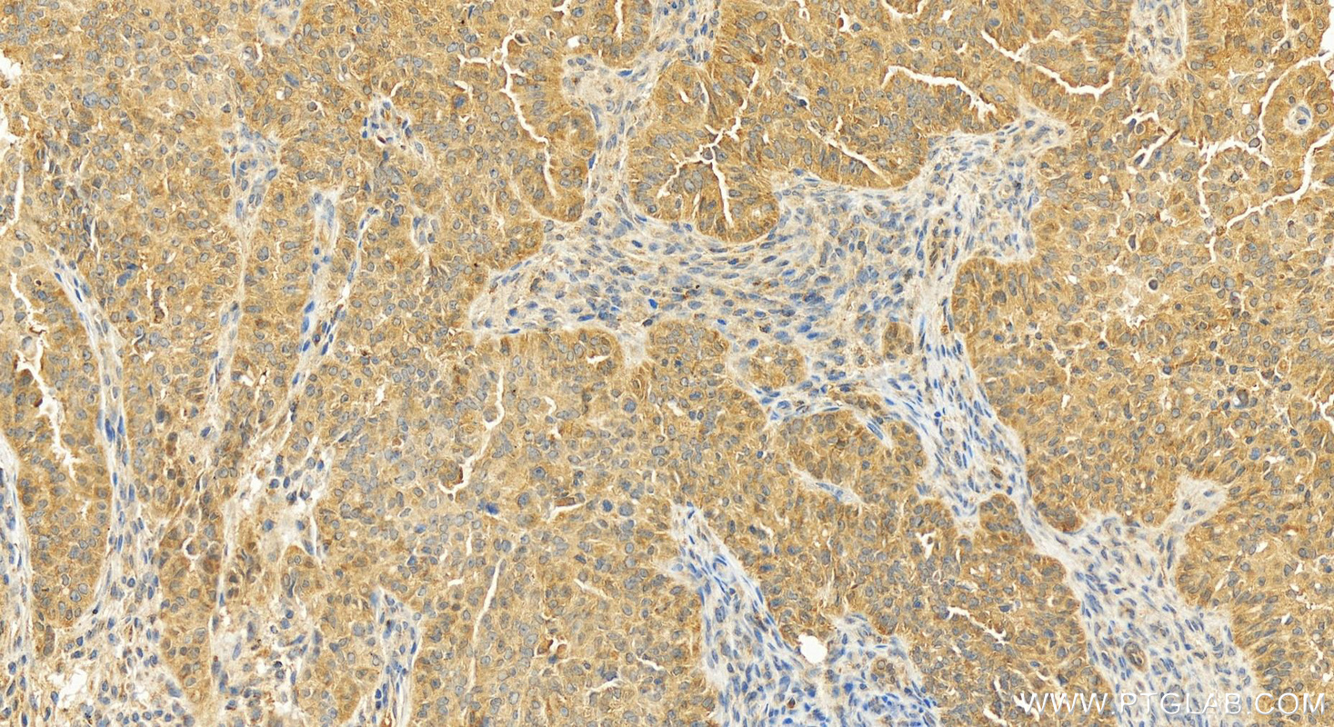
| Positive IHC detected in | human ovarian cancer, human ovary tumor tissue, human pancreas cancer tissue Note: suggested antigen retrieval with TE buffer pH 9.0; (*) Alternatively, antigen retrieval may be performed with citrate buffer pH 6.0 |
Recommended dilution
| Application | Dilution |
|---|---|
| Western Blot (WB) | WB : 1:1000-1:4000 |
| Immunoprecipitation (IP) | IP : 0.5-4.0 ug for 1.0-3.0 mg of total protein lysate |
| Immunohistochemistry (IHC) | IHC : 1:50-1:500 |
| It is recommended that this reagent should be titrated in each testing system to obtain optimal results. | |
| Sample-dependent, Check data in validation data gallery. | |
Published Applications
| KD/KO | See 2 publications below |
| WB | See 7 publications below |
| IHC | See 6 publications below |
| IP | See 1 publications below |
Product Information
11806-1-AP targets CAPZA1 in WB, IHC, IP, ELISA applications and shows reactivity with human, mouse, rat samples.
| Tested Reactivity | human, mouse, rat |
| Cited Reactivity | human, mouse |
| Host / Isotype | Rabbit / IgG |
| Class | Polyclonal |
| Type | Antibody |
| Immunogen |
CatNo: Ag2267 Product name: Recombinant human CAPZA1 protein Source: e coli.-derived, PGEX-4T Tag: GST Domain: 1-286 aa of BC000144 Sequence: MADFDDRVSDEEKVRIAAKFITHAPPGEFNEVFNDVRLLLNNDNLLREGAAHAFAQYNMDQFTPVKIEGYEDQVLITEHGDLGNSRFLDPRNKISFKFDHLRKEASDPQPEEADGGLKSWRESCDSALRAYVKDHYSNGFCTVYAKTIDGQQTIIACIESHQFQPKNFWNGRWRSEWKFTITPPTAQVVGVLKIQVHYYEDGNVQLVSHKDVQDSLTVSNEAQTAKEFIKIIENAENEYQTAISENYQTMSDTTFKALRRQLPVTRTKIDWNKILSYKIGKEMQNA Predict reactive species |
| Full Name | capping protein (actin filament) muscle Z-line, alpha 1 |
| Calculated Molecular Weight | 286 aa, 33 kDa |
| Observed Molecular Weight | 33 kDa |
| GenBank Accession Number | BC000144 |
| Gene Symbol | CAPZA1 |
| Gene ID (NCBI) | 829 |
| RRID | AB_2070037 |
| Conjugate | Unconjugated |
| Form | Liquid |
| Purification Method | Antigen affinity purification |
| UNIPROT ID | P52907 |
| Storage Buffer | PBS with 0.02% sodium azide and 50% glycerol, pH 7.3. |
| Storage Conditions | Store at -20°C. Stable for one year after shipment. Aliquoting is unnecessary for -20oC storage. 20ul sizes contain 0.1% BSA. |
Background Information
CAPZA1 (F-actin-capping protein subunit alpha-1) is a member of the F-actin capping protein alpha subunit family and regulates actin filament growth, stability and disassembly. Differential expression of CAPZA1 has been found in gastric cancer and melanoma, indicating its possible role in tumorigenesis. (21566537, 23545944)
Protocols
| Product Specific Protocols | |
|---|---|
| IHC protocol for CAPZA1 antibody 11806-1-AP | Download protocol |
| IP protocol for CAPZA1 antibody 11806-1-AP | Download protocol |
| WB protocol for CAPZA1 antibody 11806-1-AP | Download protocol |
| Standard Protocols | |
|---|---|
| Click here to view our Standard Protocols |
Publications
| Species | Application | Title |
|---|---|---|
J Cell Biol Heterodimeric capping protein is required for stereocilia length and width regulation. | ||
J Exp Clin Cancer Res CAPZA1 modulates EMT by regulating actin cytoskeleton remodelling in hepatocellular carcinoma.
| ||
Invest Ophthalmol Vis Sci Differential expression of fourteen proteins between uveal melanoma from patients who subsequently developed distant metastases versus those who did Not. | ||
Melanoma Res Differential expression patterns of capping protein, protein phosphatase 1, and casein kinase 1 may serve as diagnostic markers for malignant melanoma. |











