Tested Applications
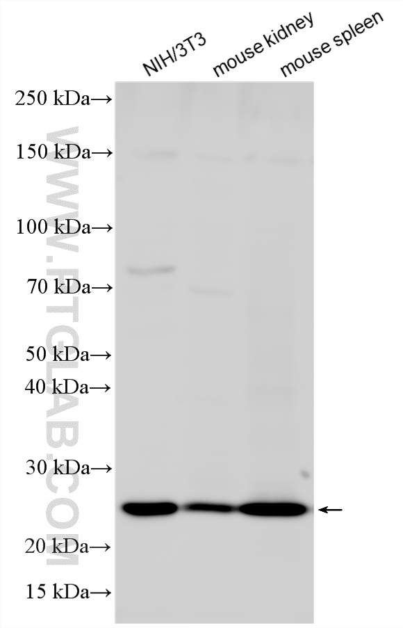
| Positive WB detected in | NIH/3T3 cells, C2C12 cells, mouse brain tissue, mouse heart tissue, mouse testis tissue, mouse kidney tissue, mouse spleen tissue, rat spleen tissue, rat spleen tissue., rat kidney tissue, rat testis tissue, mouse colon tissue |
| Positive IHC detected in | mouse spleen tissue, mouse brain tissue Note: suggested antigen retrieval with TE buffer pH 9.0; (*) Alternatively, antigen retrieval may be performed with citrate buffer pH 6.0 |
| Positive FC (Intra) detected in | NIH/3T3 cells |
Recommended dilution
| Application | Dilution |
|---|---|
| Western Blot (WB) | WB : 1:500-1:3000 |
| Immunohistochemistry (IHC) | IHC : 1:200-1:800 |
| Flow Cytometry (FC) (INTRA) | FC (INTRA) : 0.25 ug per 10^6 cells in a 100 µl suspension |
| It is recommended that this reagent should be titrated in each testing system to obtain optimal results. | |
| Sample-dependent, Check data in validation data gallery. | |
Published Applications
| KD/KO | See 3 publications below |
| WB | See 1125 publications below |
| IHC | See 65 publications below |
| IF | See 23 publications below |
| CoIP | See 1 publications below |
Product Information
26593-1-AP targets Bcl2 in WB, IHC, IF, FC (Intra), CoIP, ELISA applications and shows reactivity with mouse, rat samples.
| Tested Reactivity | mouse, rat |
| Cited Reactivity | mouse, rat, pig, rabbit, canine, chicken, bovine, hamster, duck |
| Host / Isotype | Rabbit / IgG |
| Class | Polyclonal |
| Type | Antibody |
| Immunogen |
CatNo: Ag24260 Product name: Recombinant mouse Bcl2 protein Source: e coli.-derived, PGEX-4T Tag: GST Domain: 1-236 aa of NM-009741 Sequence: MAQAGRTGYDNREIVMKYIHYKLSQRGYEWDAGDADAAPLGAAPTPGIFSFQPESNPMPAVHRDMAARTSPLRPLVATAGPALSPVPPVVHLTLRRAGDDFSRRYRRDFAEMSSQLHLTPFTARGRFATVVEELFRDGVNWGRIVAFFEFGGVMCVESVNREMSPLVDNIALWMTEYLNRHLHTWIQDNGGWDAFVELYGPSMRPLFDFSWLSLKTLLSLALVGACITLGAYLGHK Predict reactive species |
| Full Name | B-cell leukemia/lymphoma 2 |
| Calculated Molecular Weight | 26 kDa |
| Observed Molecular Weight | 26 kDa |
| GenBank Accession Number | NM-009741 |
| Gene Symbol | Bcl2 |
| Gene ID (NCBI) | 12043 |
| RRID | AB_2818996 |
| Conjugate | Unconjugated |
| Form | Liquid |
| Purification Method | Antigen affinity purification |
| UNIPROT ID | P10417 |
| Storage Buffer | PBS with 0.02% sodium azide and 50% glycerol, pH 7.3. |
| Storage Conditions | Store at -20°C. Stable for one year after shipment. Aliquoting is unnecessary for -20oC storage. 20ul sizes contain 0.1% BSA. |
Background Information
1. What is Bcl-2?
Bcl-2 (B-cell lymphoma 2) is an outer mitochondrial membrane protein that via heterodimerization with BAX proteins controls apoptosis. Abnormalities of Bcl-2 activity can lead to cancer, autoimmune diseases, and schizophrenia.
2. FAQs for Bcl-2
How to measure Bcl-2 and Bax apoptotic markers by western blotting
Generally, Bcl-2 protein is considered to have anti-apoptotic activity, while Bax has apoptotic activity. Comparing the ratio between Bcl-2 and Bax protein levels in different samples or cells subjected to treatments can reflect the apoptotic state of the cells. Expression of Bax can vary between cell lines and it is important to compare it to Bcl-2 levels.
What band size should I expect in western blotting for Bcl-2?
The molecular weight of Bcl-2 is 26 kDa.
Protocols
| Product Specific Protocols | |
|---|---|
| FC protocol for Bcl2 antibody 26593-1-AP | Download protocol |
| IF protocol for Bcl2 antibody 26593-1-AP | Download protocol |
| IHC protocol for Bcl2 antibody 26593-1-AP | Download protocol |
| WB protocol for Bcl2 antibody 26593-1-AP | Download protocol |
| Standard Protocols | |
|---|---|
| Click here to view our Standard Protocols |
Publications
| Species | Application | Title |
|---|---|---|
ACS Nano Dual Strategies Based on Golgi Apparatus/Endoplasmic Reticulum Targeting and Anchoring for High-Efficiency siRNA Delivery and Tumor RNAi Therapy
| ||
ACS Nano Melatonin-Derived Carbon Dots with Free Radical Scavenging Property for Effective Periodontitis Treatment via the Nrf2/HO-1 Pathway | ||
Acta Pharm Sin B Honokiol alleviated neurodegeneration by reducing oxidative stress and improving mitochondrial function in mutant SOD1 cellular and mouse models of amyotrophic lateral sclerosis | ||
Cell Rep Med Microneedle delivery of CAR-M-like engineered macrophages alleviates intervertebral disc degeneration through enhanced efferocytosis capacity | ||
Redox Biol Protective role of vitamin D receptor against mitochondrial calcium overload from PM2.5-Induced injury in renal tubular cells | ||
Redox Biol FUT2-dependent fucosylation of HYOU1 protects intestinal stem cells against inflammatory injury by regulating unfolded protein response |
Reviews
The reviews below have been submitted by verified Proteintech customers who received an incentive for providing their feedback.
FH Charlotte (Verified Customer) (08-15-2024) | The fainter band at the bottom of the membrane corresponds to the expected MW. Done in milk
![]() |
FH Anna (Verified Customer) (10-04-2022) | Promising staining. I have a problem with attaching a photo file. Please check the file below. https://drive.google.com/file/d/15d3t6thx7rcWyN-_DkkKCtpAMyi8jxHO/view
|
FH PRADEEP (Verified Customer) (11-03-2020) | Giving very good result for IF.
|


































