Tested Applications
| Positive WB detected in | A549 cells, HEK-293 cells, HeLa cells, HepG2 cells, Calu-1 cells, Jurkat cells |
| Positive IP detected in | HepG2 cells |
| Positive IHC detected in | mouse embryo tissue Note: suggested antigen retrieval with TE buffer pH 9.0; (*) Alternatively, antigen retrieval may be performed with citrate buffer pH 6.0 |
| Positive IF/ICC detected in | A431 cells |
Recommended dilution
| Application | Dilution |
|---|---|
| Western Blot (WB) | WB : 1:5000-1:50000 |
| Immunoprecipitation (IP) | IP : 0.5-4.0 ug for 1.0-3.0 mg of total protein lysate |
| Immunohistochemistry (IHC) | IHC : 1:50-1:500 |
| Immunofluorescence (IF)/ICC | IF/ICC : 1:500-1:2000 |
| It is recommended that this reagent should be titrated in each testing system to obtain optimal results. | |
| Sample-dependent, Check data in validation data gallery. | |
Published Applications
| WB | See 23 publications below |
| IHC | See 2 publications below |
| IF | See 4 publications below |
| IP | See 2 publications below |
Product Information
14105-1-AP targets ARNT/HIF-1 beta in WB, IHC, IF/ICC, IP, ELISA applications and shows reactivity with human, mouse samples.
| Tested Reactivity | human, mouse |
| Cited Reactivity | human, mouse, rat, pig |
| Host / Isotype | Rabbit / IgG |
| Class | Polyclonal |
| Type | Antibody |
| Immunogen |
CatNo: Ag5238 Product name: Recombinant human ARNT,HIF1B protein Source: e coli.-derived, PGEX-4T Tag: GST Domain: 1-348 aa of BC060838 Sequence: MAATTANPEMTSDVPSLGPAIASGNSGPGIQGGGAIVQRAIKRRPGLDFDDDGEGNSKFLRCDDDQMSNDKERFARSDDEQSSADKERLARENHSEIERRRRNKMTAYITELSDMVPTCSALARKPDKLTILRMAVSHMKSLRGTGNTSTDGSYKPSFLTDQELKHLILEAADGFLFIVSCETGRVVYVSDSVTPVLNQQQSEWFGSTLYDQVHPDDVDKLREQLSTSENALTGRILDLKTGTVKKEGQQSSMRMCMGSRRSFICRMRCGSSSVDPVSVNRLSFVRNRCRNGLGSVKDGEPHFVVVHCTGYIKAWPPAGVSLPDDDPEAGQGSKFCLVAIGRLQVTSS Predict reactive species |
| Full Name | aryl hydrocarbon receptor nuclear translocator |
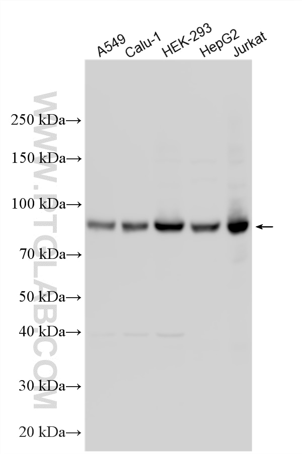
| Calculated Molecular Weight | 416 aa, 46 kDa, 87 kDa |
| Observed Molecular Weight | 87 kDa |
| GenBank Accession Number | BC060838 |
| Gene Symbol | ARNT/HIF-1 beta |
| Gene ID (NCBI) | 405 |
| RRID | AB_10639523 |
| Conjugate | Unconjugated |
| Form | Liquid |
| Purification Method | Antigen affinity purification |
| UNIPROT ID | P27540 |
| Storage Buffer | PBS with 0.02% sodium azide and 50% glycerol, pH 7.3. |
| Storage Conditions | Store at -20°C. Stable for one year after shipment. Aliquoting is unnecessary for -20oC storage. 20ul sizes contain 0.1% BSA. |
Background Information
HIF1B(HIF-1 beta), also named as ARNT, is a 789 amino acid protein, which forms a heterodimer with AHR, AHRR, HIF1A and EPAS1/HIF2A as well as with other bHLH proteins. HIF1B is Required for activity of the Ah (dioxin) receptor. This protein is required for the ligand-binding subunit to translocate from the cytosol to the nucleus after ligand binding. The heterodimer with HIF1A or EPAS1/HIF2A functions as a transcriptional regulator of the adaptive response to hypoxia
Protocols
| Product Specific Protocols | |
|---|---|
| IF protocol for ARNT/HIF-1 beta antibody 14105-1-AP | Download protocol |
| IHC protocol for ARNT/HIF-1 beta antibody 14105-1-AP | Download protocol |
| IP protocol for ARNT/HIF-1 beta antibody 14105-1-AP | Download protocol |
| WB protocol for ARNT/HIF-1 beta antibody 14105-1-AP | Download protocol |
| Standard Protocols | |
|---|---|
| Click here to view our Standard Protocols |
Publications
| Species | Application | Title |
|---|---|---|
Hepatology PROX1 promotes hepatocellular carcinoma metastasis by way of up-regulating hypoxia-inducible factor 1α expression and protein stability. | ||
BMC Med NUPR1 contributes to radiation resistance by maintaining ROS homeostasis via AhR/CYP signal axis in hepatocellular carcinoma | ||
Free Radic Biol Med Sestrin2 inhibits hypoxia-inducible factor-1α accumulation via AMPK-mediated prolyl hydroxylase regulation. | ||
Cell Immunol Fine particulate matter (PM2.5) induces inhibitory memory alveolar macrophages through the AhR/IL-33 pathway | ||
Front Microbiol Fine Particulate Matter (PM2.5) Promotes CD146 Expression in Alveolar Epithelial Cells and Cryptococcus neoformans Pulmonary Infection. | ||
J Biomed Nanotechnol Fine Particulate Matter (PM2.5) Promoted the Invasion of Lung Cancer Cells via an ARNT2/PP2A/STAT3/MMP2 Pathway. |

















