RNF139 Polyklonaler Antikörper
RNF139 Polyklonal Antikörper für WB, IHC, ELISA
Wirt / Isotyp
Kaninchen / IgG
Getestete Reaktivität
human, Maus, Ratte
Anwendung
WB, IHC, ELISA
Konjugation
Unkonjugiert
Kat-Nr. : 28261-1-AP
Synonyme
Geprüfte Anwendungen
| Erfolgreiche Detektion in WB | HEK-293-Zellen, HepG2-Zellen, HT-29-Zellen, THP-1-Zellen, U2OS-Zellen, U-87 MG-Zellen |
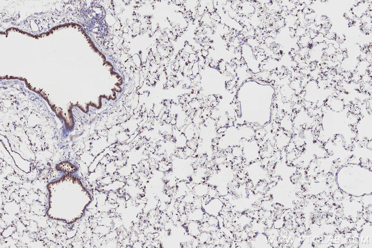
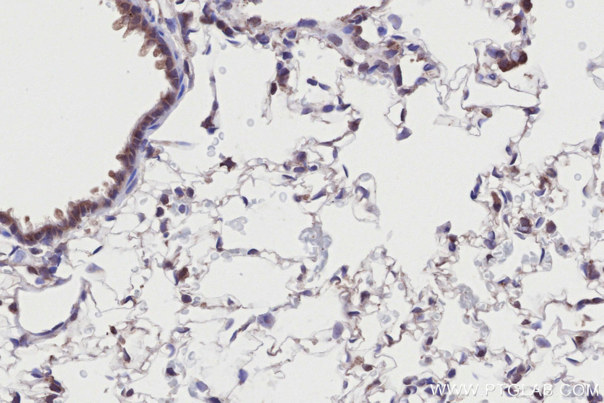
| Erfolgreiche Detektion in IHC | Rattenlungengewebe Hinweis: Antigendemaskierung mit TE-Puffer pH 9,0 empfohlen. (*) Wahlweise kann die Antigendemaskierung auch mit Citratpuffer pH 6,0 erfolgen. |
Empfohlene Verdünnung
| Anwendung | Verdünnung |
|---|---|
| Western Blot (WB) | WB : 1:1000-1:4000 |
| Immunhistochemie (IHC) | IHC : 1:1000-1:4000 |
| It is recommended that this reagent should be titrated in each testing system to obtain optimal results. | |
| Sample-dependent, check data in validation data gallery | |
Produktinformation
28261-1-AP bindet in WB, IHC, ELISA RNF139 und zeigt Reaktivität mit human, Maus, Ratten
| Getestete Reaktivität | human, Maus, Ratte |
| Wirt / Isotyp | Kaninchen / IgG |
| Klonalität | Polyklonal |
| Typ | Antikörper |
| Immunogen | RNF139 fusion protein Ag27147 |
| Vollständiger Name | ring finger protein 139 |
| Berechnetes Molekulargewicht | 664 aa, 76 kDa |
| Beobachtetes Molekulargewicht | 70 kDa |
| GenBank-Zugangsnummer | BC064636 |
| Gene symbol | RNF139 |
| Gene ID (NCBI) | 11236 |
| Konjugation | Unkonjugiert |
| Form | Liquid |
| Reinigungsmethode | Antigen-Affinitätsreinigung |
| Lagerungspuffer | PBS with 0.02% sodium azide and 50% glycerol |
| Lagerungsbedingungen | Bei -20°C lagern. Nach dem Versand ein Jahr lang stabil Aliquotieren ist bei -20oC Lagerung nicht notwendig. 20ul Größen enthalten 0,1% BSA. |
Hintergrundinformationen
The RNF139 gene (ring-finger protein 139), also known as TRC8 (translocation in renal carcinoma from chromosome 8), was first identified from a family with 3;8 chromosomal translocation and hereditary renal cell carcinoma and thyroid cancer (PMID:22689053). RNF139 encodes an endoplasmic reticulum (ER) protein with 10 transmembrane segments that contain a sterol-sensing domain and a RING finger motif encoding an E3 ubiquitin ligase (PMID: 19706601). Northern blot and dot blot show that RNF139 is highly expressed in the testis, placenta, and adrenal gland and is expressed at lower levels in the heart, brain, liver, skeletal muscle, and pancreas (PMID: 9689122). It is reported that TRC8 suppresses tumorigenesis by targeting heme oxygenase-1 (HO-1), an antioxidant enzyme highly expressed in various cancers, for ubiquitination and degradation (PMID:22689053). TRC8 is also involved in cholesterol and fatty acid biosynthesis that are transcriptionally regulated by the sterol response element binding proteins (SREBPs) (PMID:17016439). Acetylation, phosphorylation, and autoubiquitination are common post-translational modifications of FNF139 protein.
Protokolle
| PRODUKTSPEZIFISCHE PROTOKOLLE | |
|---|---|
| WB protocol for RNF139 antibody 28261-1-AP | Protokoll herunterladen |
| STANDARD-PROTOKOLLE | |
|---|---|
| Klicken Sie hier, um unsere Standardprotokolle anzuzeigen |


