Tested Applications
| Positive WB detected in | U-87 MG cells, human placenta tissue, MG-63 cells, pig skin tissue, Saos-2 cells |
| Positive IP detected in | U-87 MG cells |
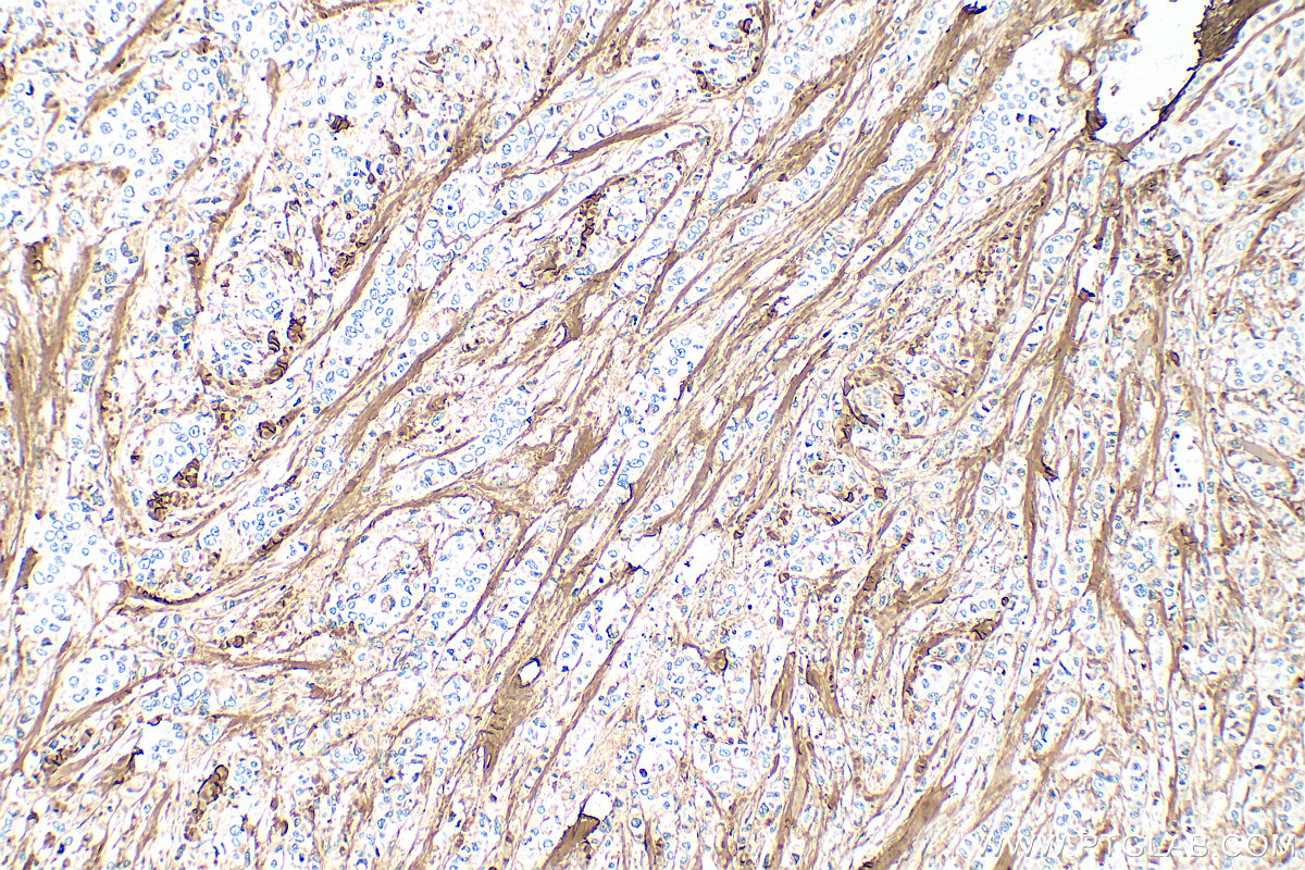
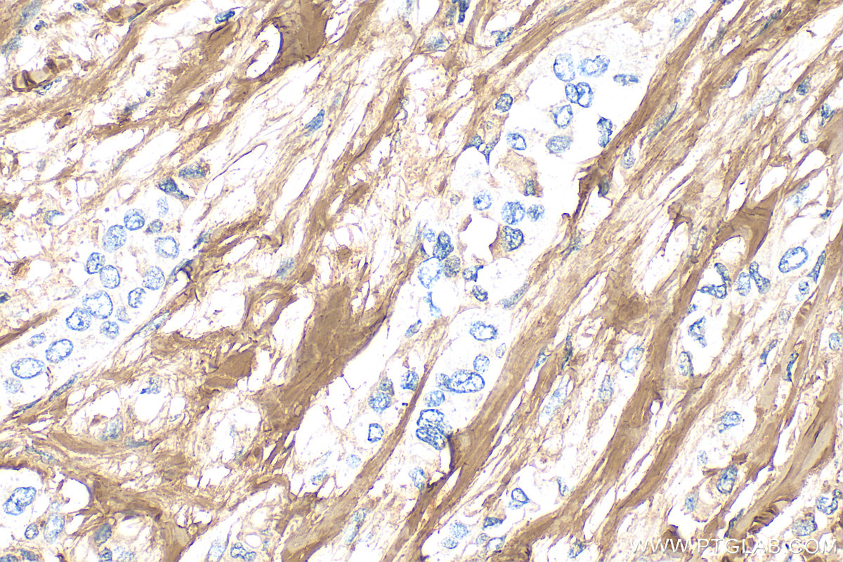
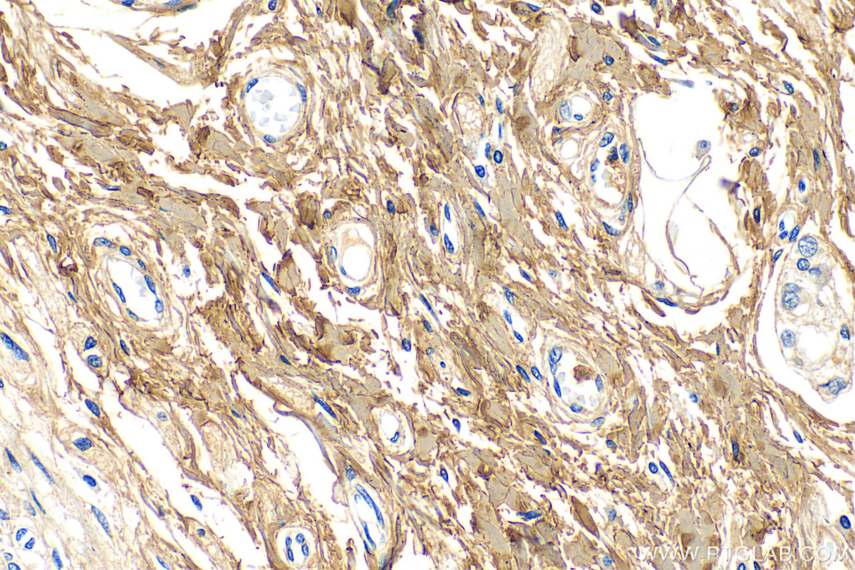
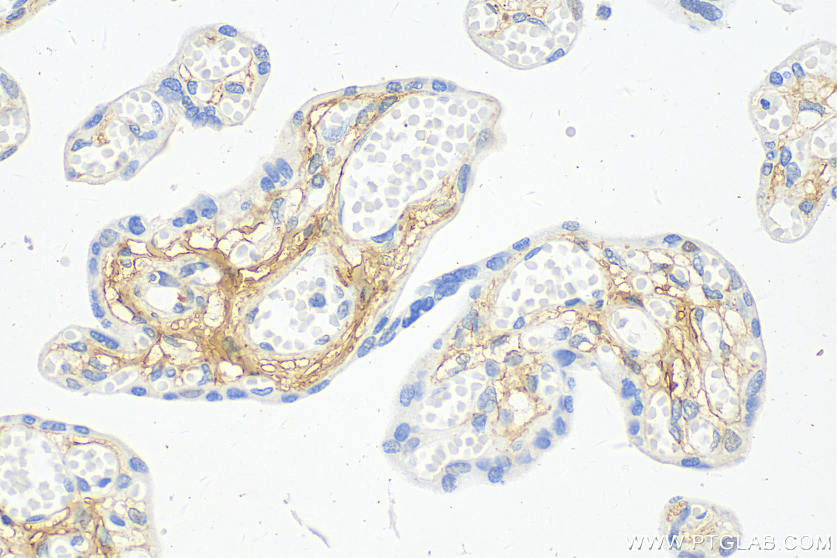
| Positive IHC detected in | human colon tissue, human breast cancer tissue, human oesophagus cancer tissue, human placenta tissue, human skin cancer tissue, human stomach cancer tissue Note: suggested antigen retrieval with TE buffer pH 9.0; (*) Alternatively, antigen retrieval may be performed with citrate buffer pH 6.0 |
| Positive IF-P detected in | mouse skin tissue |
| Positive FC (Intra) detected in | SW480 cells |
Recommended dilution
| Application | Dilution |
|---|---|
| Western Blot (WB) | WB : 1:1000-1:6000 |
| Immunoprecipitation (IP) | IP : 0.5-4.0 ug for 1.0-3.0 mg of total protein lysate |
| Immunohistochemistry (IHC) | IHC : 1:500-1:2000 |
| Immunofluorescence (IF)-P | IF-P : 1:200-1:800 |
| Flow Cytometry (FC) (INTRA) | FC (INTRA) : 0.20 ug per 10^6 cells in a 100 µl suspension |
| It is recommended that this reagent should be titrated in each testing system to obtain optimal results. | |
| Sample-dependent, Check data in validation data gallery. | |
Published Applications
| WB | See 999 publications below |
| IHC | See 270 publications below |
| IF | See 242 publications below |
| IP | See 1 publications below |
| CoIP | See 1 publications below |
Product Information
14695-1-AP targets Collagen Type I in WB, IHC, IF-P, FC (Intra), IP, CoIP, ELISA applications and shows reactivity with human, pig samples.
| Tested Reactivity | human, pig |
| Cited Reactivity | human, mouse, rat, pig, rabbit, canine, chicken, bovine, toad, duck |
| Host / Isotype | Rabbit / IgG |
| Class | Polyclonal |
| Type | Antibody |
| Immunogen |
CatNo: Ag6281 Product name: Recombinant human COL1A2 protein Source: e coli.-derived, PET28a Tag: 6*His Domain: 1017-1366 aa of BC054498 Sequence: RGLPGLKGHNGLQGLPGIAGHHGDQGAPGSVGPAGPRGPAGPSGPAGKDGRTGHPGTVGPAGIRGPQGHQGPAGPPGPPGPPGPPGVSGGGYDFGYDGDFYRADQPRSAPSLRPKDYEVDATLKSLNNQIETLLTPEGSRKNPARTCRDLRLSHPEWSSGYYWIDPNQGCTMDAIKVYCDFSTGETCIRAQPENIPAKNWYRSSKDKKHVWLGETINAGSQFEYNVEGVTSKEMATQLAFMRLLANYASQNITYHCKNSIAYMDEETGNLKKAVILQGSNDVELVAEGNSRFTYTVLVDGCSKKTNEWGKTIIEYKTNKPSRLPFLDIAPLDIGGADQEFFVDIGPVCFK Predict reactive species |
| Full Name | collagen, type I, alpha 2 |
| Calculated Molecular Weight | 1366 aa, 130 kDa |
| Observed Molecular Weight | 130-160 kDa,210-250kDa |
| GenBank Accession Number | BC054498 |
| Gene Symbol | COL1A2 |
| Gene ID (NCBI) | 1278 |
| RRID | AB_2082037 |
| Conjugate | Unconjugated |
| Form | Liquid |
| Purification Method | Antigen affinity purification |
| UNIPROT ID | P08123 |
| Storage Buffer | PBS with 0.02% sodium azide and 50% glycerol, pH 7.3. |
| Storage Conditions | Store at -20°C. Stable for one year after shipment. Aliquoting is unnecessary for -20oC storage. 20ul sizes contain 0.1% BSA. |
Background Information
Type I collagen, the major structural component of connective tissues such as skin, tendon and bone, is the most abundant and widely expressed collagen in humans (PMID: 7620364; 8645190; 9016532). Type I collagen is a heterotrimer comprising one alpha 2(I) and two alpha 1(I) chains which are encoded by the unlinked loci COL1A2 and COL1A1 respectively. Mutations in COL1A2 gene are associated with osteogenesis imperfecta, Ehlers-Danlos syndrome, idiopathic osteoporosis, and atypical Marfan syndrome. This antibody raised against 1017-1366 aa of human pro-alpha 2 chain of type l collagen can recognize collagen alpha 2(1) chain and C-terminal propeptide of pro-alpha 2(1) chain.
Protocols
| Product Specific Protocols | |
|---|---|
| FC protocol for Collagen Type I antibody 14695-1-AP | Download protocol |
| IF protocol for Collagen Type I antibody 14695-1-AP | Download protocol |
| IHC protocol for Collagen Type I antibody 14695-1-AP | Download protocol |
| IP protocol for Collagen Type I antibody 14695-1-AP | Download protocol |
| WB protocol for Collagen Type I antibody 14695-1-AP | Download protocol |
| Standard Protocols | |
|---|---|
| Click here to view our Standard Protocols |
Publications
| Species | Application | Title |
|---|---|---|
Adv Mater A Superparamagnetic Composite Hydrogel Scaffold as in Vivo Dynamic Monitorable Theranostic Platform for Osteoarthritis Regeneration | ||
Gastroenterology Pancreatic acinar cells-derived sphingosine-1-phosphate contributes to fibrosis of chronic pancreatitis via inducing autophagy and activation of pancreatic stellate cells | ||
Adv Mater Acid-Induced in Situ Phase Separation and Percolation for Constructing Bi-Continuous Phase Hydrogel Electrodes With Motion-Insensitive Property | ||
Gut Histone methyltransferase Suv39h1 regulates hepatic stellate cell activation and is targetable in liver fibrosis | ||
Bioact Mater Synergizing adaptive immunity and regenerative signals to enhance osteochondral defects repair |
Reviews
The reviews below have been submitted by verified Proteintech customers who received an incentive for providing their feedback.
FH p (Verified Customer) (09-23-2024) | Excellent
![]() |
FH Brice-Emmanuel (Verified Customer) (10-12-2023) | I have 2 bands in 70 kDa
|
FH S (Verified Customer) (03-20-2023) | Excellent Antibody!
![]() |
FH Balawant Kumar (Verified Customer) (12-20-2022) | antibody is working great. I have used this antibody for mice colon tissue and colon cancer cell line
|
FH PK (Verified Customer) (07-08-2022) | Very Good
![]() |
FH Ren Jie (Verified Customer) (06-22-2022) | Very strong signal for collagen I, needs stringent wash conditions to minimize ladder staining in western blot
|
FH S (Verified Customer) (12-01-2021) | Excellent
![]() |
FH Hala (Verified Customer) (02-23-2021) | very good
|
FH Eistine (Verified Customer) (05-31-2019) | The antibody works pretty good
|















































