Tested Applications
| Positive WB detected in | mouse kidney tissue, rat kidney tissue |
| Positive IP detected in | mouse liver tissue |
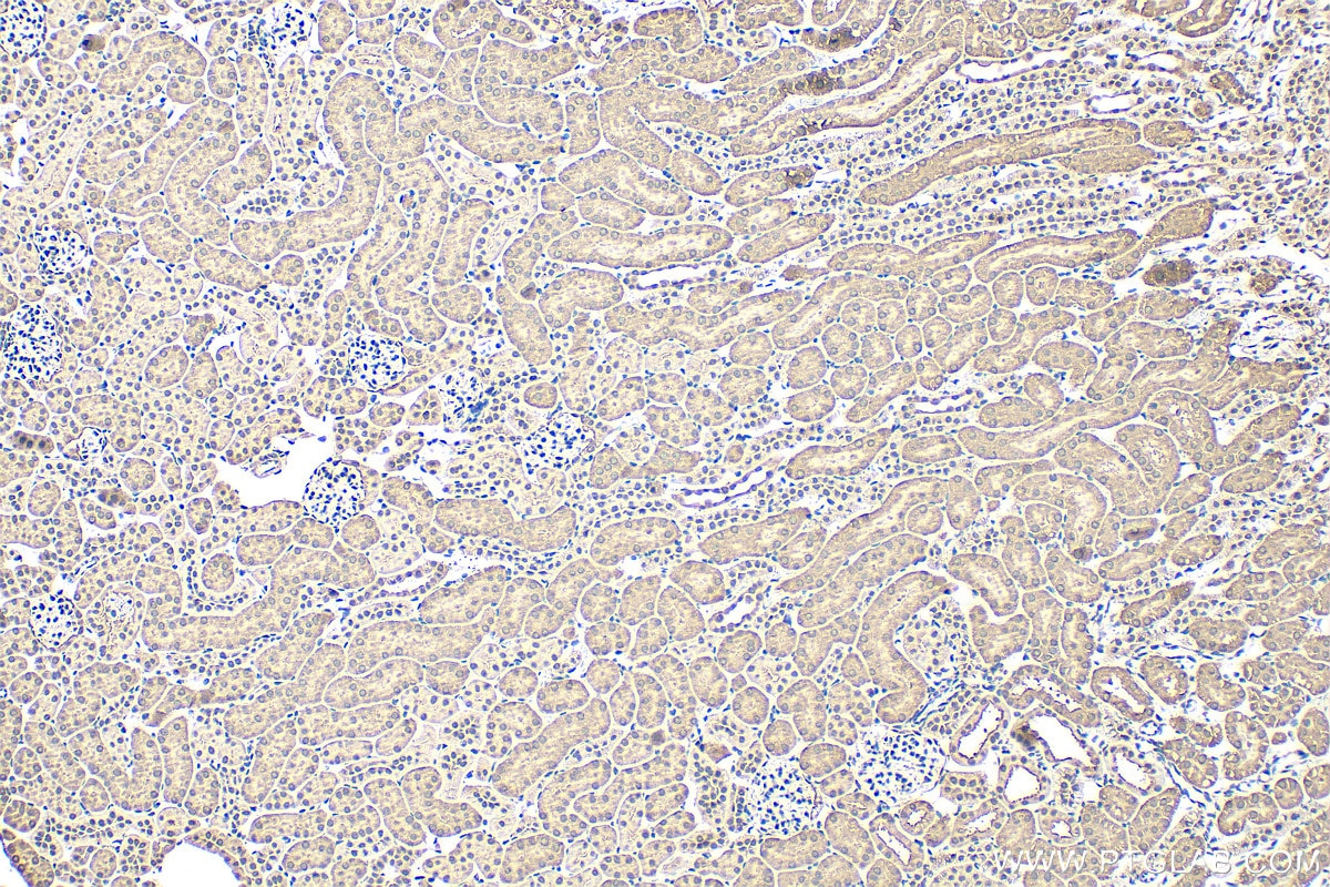
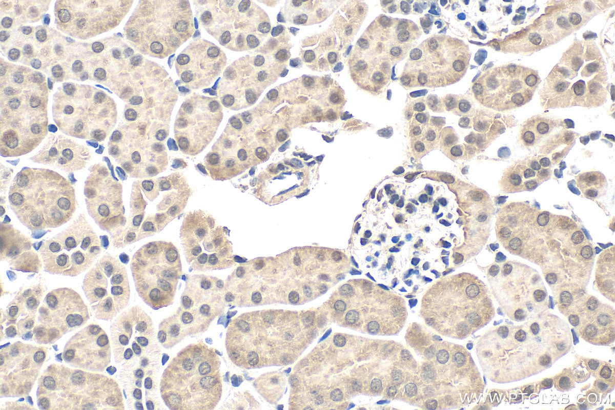
| Positive IHC detected in | human kidney tissue, mouse kidney tissue Note: suggested antigen retrieval with TE buffer pH 9.0; (*) Alternatively, antigen retrieval may be performed with citrate buffer pH 6.0 |
Recommended dilution
| Application | Dilution |
|---|---|
| Western Blot (WB) | WB : 1:1000-1:4000 |
| Immunoprecipitation (IP) | IP : 0.5-4.0 ug for 1.0-3.0 mg of total protein lysate |
| Immunohistochemistry (IHC) | IHC : 1:50-1:500 |
| It is recommended that this reagent should be titrated in each testing system to obtain optimal results. | |
| Sample-dependent, Check data in validation data gallery. | |
Published Applications
| KD/KO | See 1 publications below |
| WB | See 21 publications below |
| IHC | See 1 publications below |
| IF | See 1 publications below |
| IP | See 1 publications below |
Product Information
15265-1-AP targets MLYCD in WB, IHC, IF, IP, ELISA applications and shows reactivity with human, mouse, rat samples.
| Tested Reactivity | human, mouse, rat |
| Cited Reactivity | human, mouse, rat |
| Host / Isotype | Rabbit / IgG |
| Class | Polyclonal |
| Type | Antibody |
| Immunogen |
CatNo: Ag7334 Product name: Recombinant human MLYCD protein Source: e coli.-derived, PGEX-4T Tag: GST Domain: 103-454 aa of BC000286 Sequence: HHISKLDGGVRFLVQLRADLLEAQALKLVEGPDVREMNGVLKGMLSEWFSSGFLNLERVTWHSPCEVLQKISEAEAVHPVKNWMDMKRRVGPYRRCYFFSHCSTPGEPLVVLHVALTGDISSNIQAIVKEHPPSETEEKNKITAAIFYSISLTQQGLQGVELGTFLIKRVVKELQREFPHLGVFSSLSPIPGFTKWLLGLLNSQTKEHGRNELFTDSECKEISEITGGPINETLKLLLSSSEWVQSEKLVRALQTPLMRLCAWYLYGEKHRGYALNPVANFHLQNGAVLWRINWMADVSLRGITGSCGLMANYRYFLEETGPNSTSYLGSKIIKASEQVLSLVAQFQKNSKL Predict reactive species |
| Full Name | malonyl-CoA decarboxylase |
| Calculated Molecular Weight | 55 kDa |
| Observed Molecular Weight | 50-60 kDa |
| GenBank Accession Number | BC000286 |
| Gene Symbol | MLYCD |
| Gene ID (NCBI) | 23417 |
| RRID | AB_2146403 |
| Conjugate | Unconjugated |
| Form | Liquid |
| Purification Method | Antigen affinity purification |
| UNIPROT ID | O95822 |
| Storage Buffer | PBS with 0.02% sodium azide and 50% glycerol, pH 7.3. |
| Storage Conditions | Store at -20°C. Stable for one year after shipment. Aliquoting is unnecessary for -20oC storage. 20ul sizes contain 0.1% BSA. |
Background Information
MLYCD, also named as MCD, is a 50-55 kDa protein. It is an enzyme that catalyzes the conversion of malonyl-CoA to acetyl-CoA. In the fatty acid biosynthesis MCD selectively removes malonyl-CoA and thus assures that methyl-malonyl-CoA is the only chain elongating substrate for fatty acid synthase and that fatty acids with multiple methyl side chains are produced. In peroxisomes it may be involved in degrading intraperoxisomal malonyl-CoA, which is generated by the peroxisomal beta-oxidation of odd chain-length dicarboxylic fatty acids. (PMID:12955715)
Protocols
| Product Specific Protocols | |
|---|---|
| IHC protocol for MLYCD antibody 15265-1-AP | Download protocol |
| IP protocol for MLYCD antibody 15265-1-AP | Download protocol |
| WB protocol for MLYCD antibody 15265-1-AP | Download protocol |
| Standard Protocols | |
|---|---|
| Click here to view our Standard Protocols |
Publications
| Species | Application | Title |
|---|---|---|
Hepatology Acetyl-CoA carboxylase α promotion of glucose-mediated fatty acid synthesis enhances survival of hepatocellular carcinoma in mice and patients. | ||
Proc Natl Acad Sci U S A Ribosomal protein-Mdm2-p53 pathway coordinates nutrient stress with lipid metabolism by regulating MCD and promoting fatty acid oxidation. | ||
Cell Rep Acetyl-CoA carboxylase 1 is a suppressor of the adipocyte thermogenic program
| ||
PLoS Pathog Integrated systems biology analysis of KSHV latent infection reveals viral induction and reliance on peroxisome mediated lipid metabolism. | ||
Int J Mol Sci The Impact of Nicotine along with Oral Contraceptive Exposure on Brain Fatty Acid Metabolism in Female Rats | ||
J Mol Cell Cardiol C-Myc induced compensated cardiac hypertrophy increases free fatty acid utilization for the citric acid cycle. |
Reviews
The reviews below have been submitted by verified Proteintech customers who received an incentive for providing their feedback.
FH Hua (Verified Customer) (11-14-2024) | I did not see a band around 55 kDa on WB.
![]() |












